診療案内
最もよく使われ、難症例にも適応できる、
スタンダードな矯正装置
歯を動かすワイヤーと、歯に固定するブラケットを使って歯ならびを整えます。
多くの症例に対応できる実績のある方法です。
「装置が目立つのが気になる」という方もいらっしゃいますが、目立たない白色のワイヤーや、透明なブラケットも選択できるので、安心して治療を受けていただけます。

ブラケット矯正のメリット
- ほとんどの歯ならびやかみ合わせの症例に対応できます。
- 歯を正確に根元から動かすことができるので、後戻りが少なく安定しやすい傾向にあります。
- 見た目や耐久性に応じた装置の選択が可能です。
- 口もとをひっこめやすい装置です。
- 転院される、された場合にもスムーズな引き継ぎがしやすい治療法です。
デメリット
- ・初めて装着する際や調整後に、違和感や痛みを感じることがあります。
- ・食事や歯磨きがやりづらくなるので、しっかりとしたブラッシングが必要です。
- ・装置が口の中にあたって、口内炎ができる場合があります。
治療にかかる期間の目安
約2年~3年
料金について
ワイヤー矯正:唇側 (表側)…RIVAGE式 Metalなど | ¥660,000〜 ※3万円から分割可能 |
幼少期の顎の成長を利用し、
永久歯を正しい位置へ
小児矯正は、永久歯がきれいに生えるために、前歯や奥歯の位置を整える治療がメインとなります。歯ならびが悪いとコンプレックスを抱えることもあるため、早期の対応が大切です。
個々のお子さまに合った治療内容と開始時期を見極め、小児矯正治療を始めることで、将来的に抜歯が必要な矯正治療を避けることができる (歯を抜かずに治せる)可能性もあります。

小児矯正のメリット
- 正しい位置に永久歯が生えるように導くことができます。
- 歯ならびの改善により、子どものコンプレックスを減らすことができます。
- 成長段階に応じて適切な治療を行えるため、あごの成長を利用した効果的な矯正治療が可能で、将来的に健康な骨格や歯ならびへと繋げることができます。
- 歯ならびが整うことで、むし歯や歯周病のリスクを軽減させることができます。
- 払い込みのインクルーシブプラン (トータルフィー)があります。
デメリット
- ・難症例では、治療期間が長くかかることがあります。
- ・取りはずし式装置を用いることが多いため、お子さまの頑張り、モチベーションが何よりも大切です。
- ・固定式装置をつける場合、むし歯や口内炎など口腔内トラブルのリスクが高まります。
治療にかかる期間の目安
約2年
小児矯正の開始時期について

Ⅰ期治療(お子さまの顎の成長を利用)
7〜9才・・・小児矯正
乳歯のみ、または乳歯と永久歯が混在している状態の、6歳から小学校低学年までが対象となります(うけ口の場合は3歳から対応)。この時期の治療は、子どもの顎骨の成長を促進し、正しい位置に永久歯が生えるように導くことを目的としています。
顎を正常な形に成長するよう促すことによって、Ⅱ期治療がスムーズになったり、Ⅰ期治療のみで治療終了となる場合もあります。
(目立つ前歯のならびよりも、土台の幅やおく歯のかみあわせ改善を優先する時期です。)

Ⅱ期治療(永久歯の矯正)
12才以降・・・成人矯正
永久歯がすべて生え揃った後は、成人矯正として本格的な治療に移ります。中学生や高校生など、すべての永久歯が揃った年齢が対象です。一般的に、上顎骨は9歳から10歳頃に、下顎骨は身長の成長が止まる頃に完成します。そのため、成長段階に適した装置を使用して、歯ならびを整えていきます。
(前歯もおく歯もパーフェクトに整えていきます。場合により抜歯を伴います。)
※当院でⅠ期治療を受けられた患者さまはⅡ期治療に割引が適応されます。

治療中でも目立ちにくい、
取り外し可能な矯正装置
透明に近いマウスピース型の矯正装置を装着して歯ならびを綺麗にする治療方法です。
3Dデジタルスキャナー(iTero Lumina)により、歯型を正確にスキャンし、オーダーメイドで作成したマウスピースを装着。歯の動きに合わせて装置を定期的に交換しながら、矯正治療を進めます。

インビザラインのメリット
- 目立たない透明の装置なので、人と会う機会の多い方にオススメです。
- 取り外しができるので、お食事や歯磨きも不自由なく行えます。
- 下の前歯をきれいに並べたり、全体的な歯のガタつきをなおすのが得意な装置です。
- 装置をつける時の痛みや、外れてしまうトラブルが少ないです。
- 通院が比較的少なくて済むので、忙しい方でも安心です。
デメリット
- ・下あごの抜歯を併用した治療は不得意な傾向にあります。
- ・一日20時間前後装着しないと、治療期間が長引くもしくは、治療効果が得られない場合があります。
- ・かみ合わせが深い症例を治すのは不得意な装置です。
- ・上あご中央から2番めの歯を動かすのが不得意な装置です。
治療にかかる期間の目安
約1年~2年半(保定期間をのぞく)
料金について
インビザライン:コンプリヘンシブ | ¥880,000〜 |
インビザライン:その他 | ¥440,000〜 |
歯の裏側に装着する、
目立たないワイヤー装置
リンガルブラケット矯正は、表側のブラケット矯正と同じく、ワイヤーとブラケットで構成されていますが、装置を歯の裏側、つまり舌側に取り付ける方法です。
このため、装置を絶対に気づかれたくない営業職や接客業の方はもちろん、普段の生活や学校などで人と接する機会が多い方などにおすすめです。

リンガルブラケット矯正のメリット
- 装置が歯の裏側に取り付けられるため、外からはほとんど見えません。
- 表側と同様に、しっかりと歯を動かすことができ、効果的な治療が可能です。
- 歯の表面をしっかり歯磨きできるので、表側の装置に比べてむし歯のリスクを減らせます。
- 歯の表側に装置が当たらないので、表面のエナメル質へのダメージが少ないです。
デメリット
- ・特殊な装置を作成するため、治療開始までに時間を要することがあります。
- ・歯の裏側などの歯磨きはやりづらいため、ブラッシングは表側同様に大切です。
- ・装置による舌への違和感や、慣れるまで話しづらくなることがあります。
- ・オーラルコミュニケーションがとりにくくなります (発音、キスなど) 。
治療にかかる期間の目安
約2年~3年
料金について
ワイヤー矯正:裏側 (フルリンガル・ハーフリンガル) |
¥1320,000〜 ※症例により 前後いたします |
矯正の治療例
treatment[症例:1] 上下表側ワイヤー矯正


主訴 | 前歯のガタつき。 |
---|---|
診断名 | 叢生症例 |
治療内容 | 上下左右の小臼歯を1本ずつ計4本抜歯し、マルチブラケット装置を用いて2年6か月の動的治療を行った。 その後、上下に取り外し式の保定装置を用いて保定観察を行った。 |
年齢 | 24歳 |
装置 | マルチブラケット装置・ホールディングアーチ |
抜歯部位 | 上下顎 左右側 第1小臼歯 |
動的治療期間 | 30か月 |
治療費(施術料) | 770,000円 |
リスク・副作用 | 歯根吸収・歯槽骨の吸収・歯の神経の失活変色のおそれ・術後の変化・歯肉の退縮 |
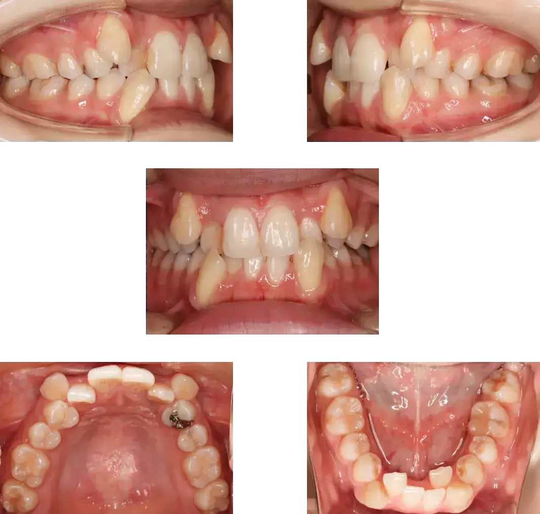
[症例:7] 小児矯正症例


[症例:8] 小児矯正症例


主訴 | 前歯が1本内側に生えている。 |
---|---|
診断名 | 幅径の不一致、前歯部分反対咬合症例 |
治療内容 | 取り外し式の装置で上顎骨の幅径拡大を行い、前歯の被蓋改善を行った。 |
年齢 | 8歳 |
装置 | 関口先生方式前歯プッシュプレートとシュワルツの拡大装置ミックスの設計 |
抜歯部位 | なし |
動的治療期間 | 24か月 |
治療費(施術料) | 385,000円 |
リスク・副作用 | 被蓋改善時の前歯歯根吸収、痛み、術後の変化 |
主訴 | 上の2番目の前歯が内側に生えてきた |
---|---|
診断名 | 叢生症例、永久歯萌出スペース不足 |
治療内容 | 取り外し式の装置で上顎骨の拡大を行い、その後前歯をアクティブプッシュ。 |
年齢 | 8歳 |
装置 | シュワルツの拡大装置、上顎2×4装置 |
抜歯部位 | なし |
動的治療期間 | 26か月 |
治療費(施術料) | 500,000円 (RIVAGE式 子どもinclusive) |
リスク・副作用 | 痛み、軽度の歯根吸収、術後の変化 |
[症例:9] インビザライン症例


主訴 | 左上の2番目の歯が内側に入っている。 |
---|---|
診断名 | 上顎左側側切歯の口蓋側転位を伴う叢生症例 |
治療内容 | 左上2番を抜歯してマウスピースで叢生の解消を目指す。 下顎の叢生に関してはIPR (歯の横幅をヤスリかけして減じていく) を併用する。 |
年齢 | 36歳 |
装置 | インビザライン コンプリヘンシブパッケージ |
抜歯部位 | 上顎左側側切歯 (中央から数えて2番目の歯) |
動的治療期間 | 25か月 |
治療費(施術料) | 880,000円 |
リスク・副作用 | 歯肉退縮、歯根吸収・歯槽骨の吸収・術後の変化 |
[症例:3] ハーフリンガル症例
上顎-裏側(リンガルブラケット)矯正
下顎-表側ワイヤー矯正


主訴 | 全体的な歯のガタつき、口元が出ている、歯のまん中がズレている。 |
---|---|
診断名 | 叢生症例、上下顎前歯唇側傾斜 |
治療内容 | 上下左右の小臼歯を1本ずつ計4本抜歯し、ハーフリンガルブラケット装置を用いて2年7か月の動的治療を行った。 その後、上下に取り外しができる保定装置を用いて保定観察を行った。 |
年齢 | 24歳 |
装置 | ハーフリンガルブラケット装置・歯科矯正用アンカースクリュー2本(上顎) |
抜歯部位 | 上下顎 左右側 第1小臼歯 |
動的治療期間 | 31か月 |
治療費(施術料) | 1,320,000円 |
リスク・副作用 | 歯根吸収・歯槽骨の吸収・歯の神経の失活変色のおそれ・歯肉退縮 |